Quinnipiac iQ Career and Experiential Learning Lab

Physician Assistant (PA)

Giant Pelvic Schwannoma in the Setting of Renal Cell Carcinoma

Graphic that states, "Giant Pelvic Schwannoma in the Setting of Renal Cell Carcinoma"

Physician Assistant (PA)

Giant Pelvic Schwannoma in the Setting of Renal Cell Carcinoma

This project was completed for PY 652: Medical Writing & Biostatistics for PA.

Overview

This work by Madeline Folsom '23, MHS ‘25 covers treatment and diagnostic challenges with pelvic schwannoma as well as the significance of the proposed genetic connection between pelvic schwannoma and renal cell carcinoma.

Conference Presentation

  • Presented at the ConnAPA Student Poster Presentation in March 2025
  • Presented at the American Academy of Physician Associates (AAPA) national conference in May 2025

Researcher

Headshot of Madeline Folsom

Madeline Folsom '23, MHS '25

Physician Assistant

School of Health Sciences

Giant Pelvic Schwannoma in the Setting of Renal Cell Carcinoma

 

Introduction

  • Schwannomas are benign peripheral nerve sheath tumors composed of Schwann cells that typically occur in the head, neck, and extremities.1 They are thought to be caused by a mutation in the NF2 gene that leads to improper functioning of the merlin suppressor protein.2
  • Pelvic schwannomas are very rare accounting for about 1-3% of all schwannomas.3 Once greater than 4.5cm, these tumors are classified as giant schwannomas.4
  • Peak incidence occurs between age 20-50 with males and females equally affected.3
  • They are difficult to diagnose as patients are asymptomatic until the tumor is large enough to compress surrounding structures leading to nonspecific symptoms.4-7
  • Official diagnosis can only be made after histopathological analysis. Pre-operative biopsy is an option but poses the risk of seeding if the tumor is malignant.1
  • Surgical resection of these tumors is the treatment of choice.1,3-7
  • Hypothesized that mutations in NF2 gene and SMARCB1 gene link the formation of schwannoma in neurofibromatosis type II with papillary renal cell carcinoma (RCC) and collecting duct RCC.2,8,9

Case Description 

History:

  • 46 y/o male presented to the general surgery team with back/pelvic pain, hematuria, and pelvic mass of unknown origin for surgical consult.
  • Denied fever/chills, night sweats, unexpected weight change, numbness/tingling of lower extremities, flank pain, constipation, or urinary symptoms.
  • PMH: RCC, hypertension, hypothyroidism, diabetes mellitus type II, gastroesophageal reflux disease, and benign prostatic hyperplasia, attentiondeficit hyperactivity disorder.
  • RCC being monitored by urology and oncology through active surveillance.
  • Medications: atenolol, lisinopril, metformin, levothyroxine, omeprazole, tamsulosin, tadalafil, alprazolam, amphetamine/dextroamphetamine.
  • Allergies: Morphine.
  • Past surgical history: None.
  • Unremarkable social and family history.

Physical Exam:

Vitals:

  • 156/82 mmHg, 95 bpm, 20 breaths/minute, 98.8F, 97% on room air.

Pre-operative:

  • All systems unremarkable.

Post-operative: 

  • No acute distress, resting comfortably in the room.
  • Breath sounds clear and equal bilaterally in all auscultatory fields.
  • Regular rate and rhythm, S1&S2 appreciated with no murmurs, DP and PT pulses 2+ bilaterally.
  • Abdomen soft, non-distended, appropriately tender to palpation over midline incision site.
  • Incision clean, dry, and intact with minimal serosanguineous staining on the dressing.
  • A&O x4, lower extremity strength, motor function, and sensation all intact and equal bilaterally.

Pre-Operative Differential Dx: 

  • Liposarcoma, fibrosarcoma, ganglioneuroma, Tarlov cyst, and pelvic schwannoma.

Labs/Diagnostics:

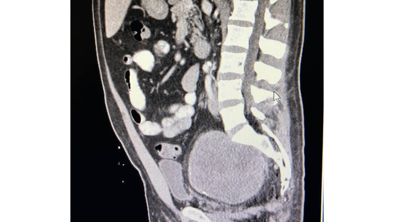
  • Figure 3 shows pre-operative CT of abdomen/pelvis with IV contrast which revealed 11 x 8.6 x 9.5cm pelvic mass and 2.7 millimeter enhancing right renal lesion.
  • CBC and CMP within normal limits aside from white count to 18,400 mm3 POD #1, which resolved by POD #2.
  • Immunochemical stains performed by pathology included S100, SOX-10, Melan-A, and HMB-45.
  • Figures 2 and 4 (not shown) show specimen in pathology with final findings of spindle cell neoplasm consistent with schwannoma.

Procedures:

  • Cystoscopy with ureteral stent placement was performed first to provide better visualization of the ureters intra-operatively.
  • Open exploratory laparotomy revealed a large, well-encapsulated pelvic mass tightly adhered to S1, S2, and sacrum.
  • R2 resection of pelvic mass was then performed to preserve the sacral plexus and patient’s neurological function.

Outcome

  • Post-operative course was uncomplicated aside from hematuria, abdominal pain, and leukocytosis on POD #1, all of which resolved by POD #2.
  • Patient was discharged on POD #3 after pain control was achieved, Jackson-Pratt drain was removed, and patient was tolerating regular diet with adequate bowel function.
  • Patient was notified once the official pathology report was released, and follow-up was scheduled to monitor for recurrence.

Discussion

  • Complete surgical resection of pelvic schwannoma is the most effective treatment option with good prognosis postoperatively and low risk of recurrence.1,3-7
  • Controversy exists surrounding whether preservation of neurologic function versus complete resection of the tumor is more important in cases where the tumor is adhered to the sacral nerve plexus.3,7
  • Performing an R2 resection without knowing the histopathology of this tumor put our patient at higher risk of a poor outcome had this been a malignant tumor. This is a management problem that all providers face in pelvic masses of unknown origin.1,3-6

Conclusion

  • While there is not a well-studied genetic link between pelvic schwannoma and RCC, the case reports available show a strong potential for relationship between the two tumors.
  • Pelvic schwannomas are difficult to diagnose and should be considered in the differential diagnosis of a patient with RCC exhibiting non-specific symptoms including low back pain, hematuria, or other urinary symptoms.

 

Professional Application

"My biggest takeaways from this experience included gaining an in depth understanding of the process of diagnosing and treating this rare tumor, learning the value of each member’s role on the interdisciplinary healthcare team, and the importance of creating presentations like this one to share with the medical community to contribute to the lifelong learning of all healthcare providers. I found that this whole process from seeing the patient for the first time, to assisting with his surgery, to creating this presentation all held valuable lessons and provided me with growth in all of the skillsets that will help me become best provider I can be in my future career as a PA." - Madeline Folsom '23, MHS '25

 

Faculty Mentor

For Further Discussion

This serves as an overview of the project and does not include the complete work. To further discuss this project, please email Madeline Folsom.

Course Overview

PY 652: Medical Writing & Biostatistics for PA introduces biostatistics, evidence-based medicine, as well as critical review and application of evidence to clinical decision-making. Students learn to construct clinical questions and perform literature searches. Methods for critically appraising the literature and strategies for maintaining currency of medical knowledge through journal clubs are practiced. Review of basic techniques of medical writing and presentation allow students to develop presentations, posters and journal articles while incorporating peer review feedback.

Explore Our Areas of Interest

We've sorted each of our undergraduate, graduate and doctoral programs into unique Areas of Interest. Explore these categories to discover which programs and delivery methods best align with your educational and career goals.

Explore Health and Medicine at Quinnipiac

 

References 

1. Deng C, Wang P, Liu Y, et al. Laparoscopic resection of pelvic schwannomas: a 9-year experience at a single center. World Neurosurgery: X. 2022;17:100150. doi:10.1016/j.wnsx.2022.100150

2. Yin M, Wang W, Rosenberg J, et al. Targeted therapy in collecting duct carcinoma of the kidney: A case report and literature review. Clinical Genitourinary Cancer. 2016;14(2). doi:10.1016/j.clgc.2015.11.008  

3. Pan S, Wang P, Chen Z, Liu Y, Zhou Z. Retroperitoneal schwannoma mimicking a metastatic lymph node of renal clear cell carcinoma: a case report. Front Neurol. 2024;15:1450217. Published 2024 Aug 2. doi:10.3389/fneur.2024.1450217 

4. Colecchia L, Lauro A, Vaccari S, et al. Giant pelvic schwannoma: case report and review of the literature. Dig. Dis. and Sci. 2020;65(5):1315-1320. doi:10.1007/s10620-020-06128-2  

5. Kawahori T, Mukai S, Saito Y, Nishida T, Fukuda T, Ohdan H. A rare case of giant pelvic retroperitoneal schwannoma. Radiol. Case Rep. 2024;19(12):5738-5743. doi:10.1016/j.radcr.2024.08.109  

6. Kalagi D, Bakir M, Alfarra M, Aborayya A, Anwar I. Two unusual presentations of presacral schwannoma; a case series. Int. J. Surg. Case Rep. 2019;61:165-168. doi:10.1016/j.ijscr.2019.07.042  

7. Handa K, Ozawa H, Aizawa T, et al. Surgical management of giant sacral schwannoma: a case series and literature review. World Neurosurg. 2019;129. doi:10.1016/j.wneu.2019.05.113 

8. Hulsebos TJM, Kenter S, Baas F, et al. Type 1 papillary renal cell carcinoma in a patient with schwannomatosis: mosaic versus loss of SMARCB1 expression in respectively schwannoma and renal tumor cells. Genes, Chromosomes, and Cancer. 2016;55(4):350-354. doi:10.1002/gcc.22338  

9. Klose C, Gibbs M, Kahn A, Baird B, Farres S, Zganjar A. Diagnosis and open excision of concurrent pelvic schwannoma and chromophobe renal cell carcinoma. Urol. Case Rep. 2024;56:102809. doi:10.1016/j.eucr.2024.102809